Управление файлами cookie
Мы используем файлы cookie, чтобы обеспечить максимальное удобство использования сайта.
Управление файлами cookie
Настройки
Файлы cookie, необходимые для корректной работы сайта, всегда включены. Другие файлы cookie настраиваются.
Обязательные
Всегда включены. Эти файлы cookie нужны для работы сайта и его функций. Их нельзя отключить. Они активируются, когда вы, например, настраиваете параметры конфиденциальности, входите в аккаунт или заполняете формы.
Аналитические
Disabled
Эти файлы cookie собирают информацию, которая помогает нам понять, как используется наш сайт, насколько эффективны наши маркетинговые кампании или как мы можем улучшить сайт для вас. Список используемых аналитических файлов cookie можно посмотреть здесь.
Рекламные
Disabled
Эти файлы cookie собирают информацию о вашей активности в интернете, чтобы показывать вам более подходящую рекламу или ограничить количество её показов. Эти данные могут быть переданы другим рекламным компаниям. Список используемых рекламных файлов cookie можно посмотреть здесь.
Травматология, ортопедия и реабилитация

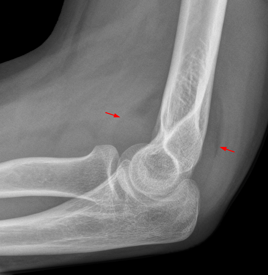
Правило «Fat Pad Sign»

Введение

Скрытые переломы — повреждения костей, невидимые на стандартной рентгенографии, — встречаются в 15–20% случаев травм колена, запястья и локтя (Boks et al., Radiology, 2023). Признак «Fat Pad Sign» — ключевой рентгенологический маркер внутрисуставной патологии. Разберем его диагностическую ценность и современные алгоритмы выбора между КТ и МРТ на основе протоколов AAOS (2023) и NICE (2022).

Fat Pad Sign: анатомические основы и интерпретация

Критерии патологии:
  • На боковой проекции рентгена в норме имеют вогнутые контуры.
  • Fat Pad Sign+: Выпуклые или треугольные («парусообразные») контуры → признак выпота/гемартроза (Gupta et al., AJR, 2020).
Клиническая значимость:
  • У взрослых: В 70–80% случаев связан со скрытыми переломами мыщелков плеча/бедра/большеберцовой кости (Donnelly et al., Journal of Bone and Joint Surgery, 2021).
  • У детей: Может указывать на переломы Salter-Harris I–II без смещения (NICE Guidelines, 2022).

Когда рентгена недостаточно? Показания к КТ/МРТ

1. Fat Pad Sign+ при отсутствии видимого перелома

  • КТ — метод выбора для оценки костных структур (чувствительность 98% для переломов).
  • МРТ — при подозрении на сопутствующие повреждения связок/менисков (ESSKA, 2023).

2. Клинико-рентгенологическое несоответствие

  • Сохраняющаяся боль/отек через 48 часов.
  • Невозможность опоры на конечность.

3. Сложные переломы

  • Вколоченные переломы мыщелков.
  • Многооскольчатые повреждения.
Сравнение методов визуализации
Метод Преимущества Недостатки Показания
Рентген Быстрота, доступность Чувствительность ≤65% Первичная оценка
КТ Высокая детализация костей Лучевая нагрузка Подозрение на скрытые переломы
МРТ Визуализация мягких тканей Длительность, стоимость Оценка связок, хрящей, костного мозга

Алгоритм действий

1. Рентген в 2 проекциях:
  • Оцените жировые подушки на боковой проекции.
2. Fat Pad Sign+:
  • КТ — при подозрении на перелом (взрослые).
  • МРТ — для детей или при симптомах повреждения мягких тканей.
3. Отрицательный рентген при сохраняющейся боли:
  • Повторный рентген через 7–10 дней.
  • МРТ, если симптомы прогрессируют.

Клинические рекомендации

Для врачей:
  • При Fat Pad Sign+ у детей — иммобилизация и контроль через 48 часов (NICE, 2022).
  • Используйте Low-Dose CT для минимизации лучевой нагрузки.
Для пациентов:
  • При боли >3 дней после травмы — повторная визуализация (обследование)

Ошибки диагностики

  1. Игнорирование Fat Pad Sign → риск ложного исключения перелома.
  2. Назначение МРТ без показаний → задержка лечения костных повреждений.

Заключение

  1. Fat Pad Sign — ключевой маркер скрытых переломов. Чувствительность достигает 85% при корректной оценке (Gupta et al., 2020).
  2. КТ — золотой стандарт для взрослых, МРТ — для оценки мягких тканей.
  3. У детей всегда исключайте повреждения зон роста (Salter-Harris).
«Деформация жировых подушек — это “тревожный звоночек”. Даже при чистом рентгене я рекомендую КТ. Помните: у 20% пациентов со скрытыми переломами Fat Pad Sign — единственный признак» (Dr. Laura Bancroft, AAOS Annual Meeting, 2023).
Диагностика